Hyperbaric Research
History of HBOT
Since the origins and development of hyperbaric therapy and diving medicine are closely tied, the use of compressed gas in medicine actually has ancient roots. We don’t know much about the origins of diving. But as far back as 4500 B.C. free-diving (breath-holding...
How mild hyperbaric oxygen therapy works and why it is good for our children
J.A. Buckley/Medical Veritas 2 (2005) 647 Hypothesis Physicists figured out years ago that a gas under pressure is more likely to dissolve into liquid—in mild hyperbaric oxygen therapy, the gas is oxygen and the liquid is blood. But under pressure, oxygen doesn’t only...
First-Time Human Study Shows Reversal in Biology of Aging – Telomere Shortening and Senescent Cells Accumulation – with Hyperbaric Oxygen Therapy (HBOT)
Prospective Clinical Trial, Published in Peer-Reviewed Journal Aging, Utilizes HBOT Protocols to Demonstrate Cellular Level Improvement in Healthy Aging Adults A recent study conducted by Tel Aviv University and the Shamir Medical Center in Israel found that...
HBOT Increases Telomere Length to Slow Down Aging!
We can now regrow Telemeres to protect our DNA and stay younger, longer. https://www.youtube.com/shorts/cLb2LalkMpY
INCREASING POPULARITY OF HYPERBARIC OXYGEN THERAPY FOR CHRONIC CONDITIONS
HBOT CONTINUES TO MAKE THE NEWS! Hyperbaric oxygen therapy (HBOT) is a medical treatment in which a patient breathes pure oxygen inside a pressurised chamber. HBOT is used to treat a variety of medical conditions, and is also sometimes used as an adjunctive treatment...
Clinical Study: Mild Hyperbarics for Impaired Brain Function
Dr. Gunnar Heuser, a toxicexposure specialist, documentedresults of a series of hyperbarictreatments on 9 patients sufferingfrom Impaired Brain Function. Thepurpose was to study the effects of1.3 ATA of hyperbaric therapy onthose patients. His patientsincluded...
Drowning and Anoxic Brain Injury
According to the CDC, drowning is a leading cause of death in children aged 1 to 14. It is extremely dangerous as it deprives the entire brain of necessary oxygen. Often, this deprivation leads to the death of brain cells or the death of the drowning victim. In fact,...
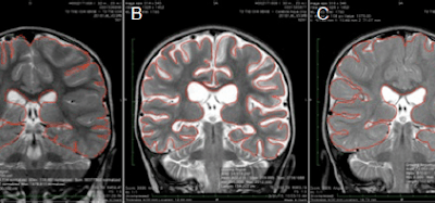
Eden Carlson Drowning and Recovery
Eden Carlson was two years old when she suffered a near fatal drowning accident. Doctors gave Eden more than 100 minutes of CPR and 17 shots of epinephrine before she regained a spontaneous heartbeat. An MRI taken after the accident showed that Eden had sustained a...
Hyperbaric oxygen therapy: Antimicrobial mechanisms and clinical application for infections
Abstract Hyperbaric oxygen therapy (HBOT) is a treatment procedure that involves breathing 100% O2 for a certain time and under a certain pressure. HBOT is commonly administrated as a primary or alternative therapy for different diseases such as...
New Hyperbaric Therapy Could Limit and Perhaps Reverse Cognitive Decline
Oxygen might be the new tool for enhancing cognitive function in the elderly
Anxiety – Depression improved with mild Hyperbaric Oxygen Therapy in some individuals
Hyperbaric oxygen therapy (HBOT) can improve anxiety and depression in many individuals, but it is not to ignore the importance and necessity of proper therapy and counseling and medication when needed. HBOT seems to work better for anxiety - depression when they are...
Hyperbaric Oxygen Therapy for Multiple Sclerosis
Multiple Sclerosis, or MS, is a degenerative disease that attacks the body’s nervous system. The nervous system includes the brain, spinal cord, and various nerves that branch from them; MS attacks the brain and spinal cord. Nerves have protective sheaths of tissue...